Posteo de casos

¿Quieres compartir tu caso?
Última actualización
2020-04-02 14:12:40
0 Vídeos / 33 Imágenes

Elevación de seno infectada supurando abundantemente

El día 13.06.2018 hice una elevación de seno en la que todo fue bien, excepto una pequeña perforación en la membrana de Schneider que cubrí con una membrana de colágeno:  Fue una cirugía mul limpia, muy aséptica y de la que estuve muy tranquilo al terminar.El 19.06.2018 hice un control en el que lo vi todo bien, pero el Paciente me comentó que en los días posteriores tuvo sensaciones de mareo y flojera en las piernas.  La cicatrización estaba sisndo perfecta.El jueves 28.06.2018 tenía mareos y se despertó tiritando y fue a urgencias de madrugada, le miraron y le hicieron hemograma: estaba todo bien. El sábado 30.06 lo dejaron ingresado una noche con fiebre y lo mandaron a casa diciéndole que todo era correcto.  Le hicieron un hemocultivo que fue negativo.Le exploro el 03.07.2018 y aunque la cicatrización es correcta, hay un absceso submucoso en la zona que cubre la ventana del seno, el cual dreno con abundante salida se pus, lavo e irrigo internamente con Clindamicina. Doy Actira por 7 días.  Prueba de Valsalva negativa. Dejo abierto.Ayer, 06.07.2019, vuelvo a drenar abundante pus y al terminar, la Valsalva es positiva y expulsa muchísima más pus.  Hago prueba de Valsalva hasta que aparentemente estaba todo drenado, lavo y de nuevo irrigo internamente con Clindamicina. El paciente ya no tiene mareos, pero sí dolor en la zona y molestias por detrás de la mastoides.Alguien ha tenido un caso similar, y qué solución le ha dado?  Cuál sería la conducta a seguir.  El día de la cirugía el paciente tenía una barba abundante.

A fecha de hoy, 02.04.2020 y con un poco de retraso, actualizamos el post de este caso que ya está concluido y por suerte, tuvimos un final feliz.  Tras haber dado por resuelto el proceso infeccioso en fecha 02.10.2018 (4 meses después de la Elevacion de Seno), en fecha 27.03.2019 colocamos los implantes.  Espacíficamente colocamos tres implantes Paltop Dynamic en posiciones 1.4, 1.6 y 1.7. 18.09.2019 Segunda cirugía y 2.01.2020 la prótesis.

Dr. Martínez Cabruja
Spain
Seguir a este doctor
Seguir este caso
Votos
Visualizaciones
17719
Comentarios (31)
Martínez Cabruja, Gerardo
02-04-2020 23:25
Muchísimas gracias Berto, y muchísimas gracias por tu desinteresada y muy valorada colaboración en este caso. A cuidarnos todos. Abrazos
Fernández, Juan Alberto
02-04-2020 23:00
Bravo, me encanta. Mis mejores deseos para estos diiiíiaassss
Martínez Cabruja, Gerardo
02-04-2020 14:20
A fecha de hoy, 02.04.2020 y con un poco de retraso, actualizamos el post de este caso que ya está concluido y por suerte, tuvimos un final feliz. Tras haber dado por resuelto el proceso infeccioso en fecha 02.10.2018 (4 meses después de la Elevacion de Seno), en fecha 27.03.2019 colocamos los implantes. Específicamente colocamos tres implantes Paltop Dynamic en posiciones 1.4, 1.6 y 1.7. En fecha 18.09.2019 realizamos la segunda cirugía y en fecha 02.01.2020 iniciamos las prótesis y las concluimos en fecha 24.02.2020. Lo más relevante de este caso fue el finalmente encontrar la posible causa del proceso infeccioso tras la elevación de seno. Este paciente padece una artritis psoriásica y estaba siendo tratado con metotrexato (cosa que desconocíamos), fármaco que provoca inmunodepresión. Tras la infección aguda, fue tratado con Actira 400 y Trigon Depot, y con ello se consiguó doblegar la infeccion.

Ver todos los comentarios
Ocultar los comentarios

Fernández, Juan Alberto
03-12-2018 07:02
De nuevo, el huevo o la gallina.No se trata solo de un de cuestión cualitativa, sino tb cuantitativa.Puede existir un ostium permeable al aire. Pero, si se liberan partículas al interior de seno, se acaba obstruyendo y se infecta el contenido, o al revés: se infecta el contenido, se liberan las partículas y éstas acaban obstruyendo el ostium. Si un ORL diagnostica una sinusitis aguda Lanza y Kenedy(clínica) o Lund-Mackay(radiológica) seguro que busca como primera vía de drenaje el ostitum, a través de una cirugía funcional transnasal endoscópica, pero dentro de los criterios clínicos aparece el drenaje posterior en fosa nasal. Con lo cual, y lo digo humildemente, creo que los criterios diagnósticos de sinusitis post cirugía deberían reconsiderarse. Así que para nada eres un pesado, es que la situación trae cola. Gracias a ambos
Godoy perez, Ignacio gaston
02-12-2018 22:51
Muchísimas gracias a los dos ,primero por responderme tan rápido y Segundo por ayudarme a entender mejor el proceso , pero como soy un poco pesado , perdonarme , me surge otra duda ; cuando decís que provocáis un drenaje porque por la la salida natural ( meato medio) no puede salir. No sería ese el origen de la infección ? (la falta de permeabilidad) o queréis decir ,que se abre un drenaje ,para ayudar a la evacuación aún sabiendo que también está drenando por el meato? Puede ser que el propio líquido purulento obstruya el meato y por eso drenáis? Gracias de nuevo.
Martínez Cabruja, Gerardo
28-11-2018 22:25
Hola Ignacio, hola Berto. Estoy totalmente de acuerdo con tu respuesta. En este caso Ignacio el proceso infeccioso era agudo y muy productivo. El exudado purulento salía a chorros y había que drenarlo de la manera que fuera. Respecto a la cicatrización post retirada del drenaje, lo dejamos cerrar por segunda intención y no hubo problemas. Lo que comentas de la posible contaminación del biomaterial es cierto. Actualmente el paciente está asintomático y no hay signos que nos hagan pensar que las cosas vayan mal. Esperaremos a la reentrada a ver si podemos colocar los implantes, y sino, retiraremos el biomaterial. Por otro lado, lo que comentas de no dejar una comunicación orosinusual abierta sí que sería válido en el caso de una comunicación accidental por una exodoncia, por ejemplo. En un caso así, sí que la cerraríamos de inmediato para evitar la infección del seno.
Fernández, Juan Alberto
28-11-2018 14:28
Gracias por formular la pregunta. Al respecto de la respuesta me parece que lo que mejor explica la situación, se puede comparar al famoso acertijo de qué fue primero: el huevo o la gallina. Me expreso, si el seno de un paciente tiene una infección aguda, buscará sí o sí evacuarla. La vía natural es que salga por el meato, pero si no puede, buscará otras vías que pueden ser: suelo de órbita, la pared lateral del seno, o la cicatriz previa ( que es lo más común). Por tanto si el proceso es agudo , hacer un drenaje por una vía ya abierta se me antoja la mejor forma de hacerlo. Por otra parte mientras el drenaje sea productivo, no va a incrementarse la colonización bacteriana. De modo que cuando deje de drenar, y siempre que el seno sea permeable: cicatrizará de forma favorable. Y si no lo hace, será muy fácil su cierre.
Godoy perez, Ignacio gaston
28-11-2018 12:29
Buenos días , me surgen unas dudas sobre el post que espero que Gerardo,Alberto o cualquier otro usuario pueda resolverme: 1- si dejas el seno abierto con el drenaje , yo siempre he entendido que al dejar una comunicación orosinusal , las bacterias de la boca colonizar el seno y provocarán una sinusitis, es eso cierto al colocar el drenaje? 2-que material usas para provocar el drenaje? -3 si al retirar el drenaje dejas cicatrizar la comunicación por 2 intención no existe riesgo de que se produzca una comunicación crónica ?4- Si supura a través de la ventana Entiendo que el material de regeneracion se impregna del líquido purulento, no existe riesgo de contaminación del mismo? Gracias a Gerardo por el post y a Alberto por la plataforma sin duda ambas ,al menos para mi son muy útiles. Un saludo y perdonar mi ignorancia ;)
Fernández, Juan Alberto
05-08-2018 08:44
Bufff me dejas sin palabras ( y eso no es fácil). Cuando supe que el paciente estaba bien, tuve la misma felicidad que si fuese mío el caso; y cuando vi el cbct, me emocioné: estaba curado. Que maravilla.
Martínez Cabruja, Gerardo
02-08-2018 15:58
Muchisimas gracias a Berto por su grandisima profesionalidad y por la grandiosa bondad que tiene como persona. Reconocimiento infinito a todos los que hacen posible este proyecto.
Martínez Cabruja, Gerardo
02-08-2018 15:55
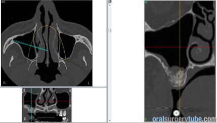
Con este comentario haremos una pausa en el caso hasta que llegue la colocación de los implantes. Por el momento, está todo solucionado. No hay sintomatología alguna, y lo más importante, en TAC realizado el martes 31.07.2018, podemos ver que el seno ha drenado por completo y está aireado. Hasta nuevo aviso, suspendemos todo tipo de medicación. Subimos imágenes del último TAC donde podemos apreciar que hemos perdido algo de xenoinjerto, pero la zona de menor altura aún tiene 10 mm. Podemos ver en una de las imágenes la zona de la ventana por donde el seno drenaba. Esperaremos el tiempo reglamentario para poder reevaluar si el xenoinjerto sigue siendo viable. Ha sido un gran placer contar con este equipo y poder aportar un grano de arena a solucionar complicaciones quirúrgicas.
Fernández, Juan Alberto
28-07-2018 14:09
Eso es profesionalidad. 👏👏👏👏👏👏👏👏👏👏
Martínez Cabruja, Gerardo
28-07-2018 12:51
Continúo con la narrativa de la secuencia de este caso: Paciente visitado el jueves 26.07.2018. Continúa sin ninguna sintomatología y empieza a expulsar menos mucosidad. Ante la duda de la esterilización, subimos imágenes del control de nuestro autoclave Clase B (Helix y Bowie-Dick). Además, subimos imagen intraoral actual con la cicatrización por segunda intención del drenaje y el nuevo provisional de 15. La próxima semana realizaremos nuevo TAC.
Martínez Cabruja, Gerardo
21-07-2018 14:34
Estimado carlos; estimados toddos: Esta semana el paciente ha seguido evolucionando favorablemente. Continúa con la medicación y sin ninguna sintomatología. Sigue drenando mucosidad "limpia" a través de la orofaringe. Respecto al seguimiento del caso, creo que es mi obligación llevar esto hasta en final y mantenerlo actualizado, incluso lo llevaré hasta el final de la prótesis. Esto no es una ciencia exacta y siempre pueden surgir complicaciones. Además, la ayuda recibida de Berto no tiene valor.
Kathan Rodríguez, Carlos
17-07-2018 09:09
Gerardo, muchas gracias por este seguimiento tan exhaustivo y por postearlo e ir informando de todo. Creo que de este tipo de complicaciones es de las que más se aprende y lamentablemente no se publican, y no porque no ocurran. Y gracias a Berto por estar siempre al quite. Sigo el caso con mucho interés. Un saludo a todos.
Martínez Cabruja, Gerardo
14-07-2018 22:22
Añado algo más para Hernán: el Post no permitía más caracteres. Creo que estando la pieza con vitalidad normal, debemos seguir buscando la causa del fracaso tan súbito de la cirugía. No sé qué te parece mi opinión; me gustaría que si puedes, la comentaras. Una vez más, te doy las gracias por tu aporte, pues no había vuelto a comprobar la vitalidad del diente.
Martínez Cabruja, Gerardo
14-07-2018 22:19
Respondo a Berto: El gran apoyo, nos lo das tú a todos nosotros. No sé de dónde sacas tantas fuerzas para trabajar con cirugías tan complicadas cada dia, dar cursos, viajar tanto, y además llevar todo este proyecto. Eres un titán incansable.
Martínez Cabruja, Gerardo
14-07-2018 22:13
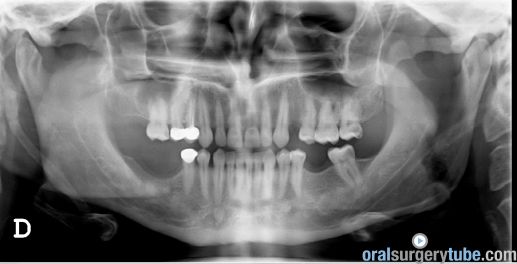
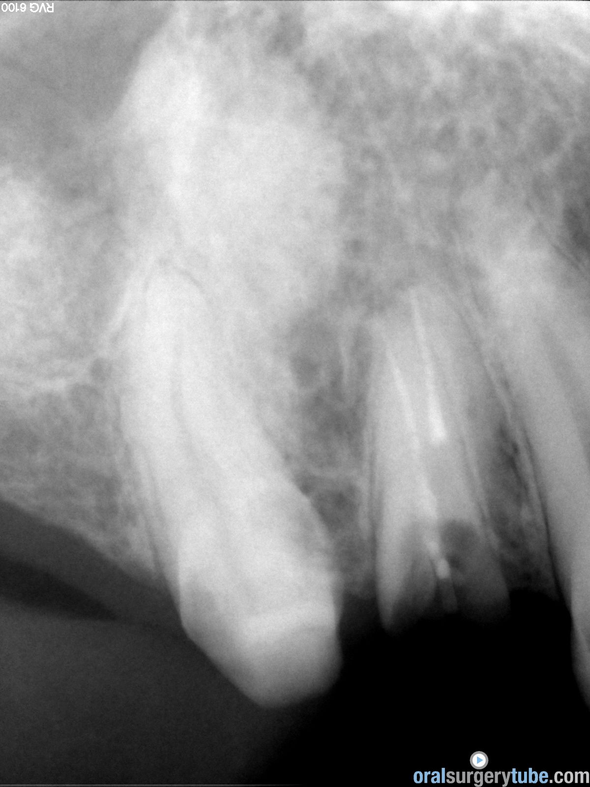
Respondo a Hernán Rescala: Antes que nada, darte las gracias por tu comentario. Este paciente llevaba dos coronas ferulizadas 1-4; 1-5 cuando le vimos en 2014. En aquel momento, no se hizo ningún tratamiento, y fue una pena. La pieza 16, por la que ha venido toda esta historia era recuperable. Quizás no supimos convencerle de intervenir de inmediato, de lo cual me culpo. Subo panorámica de 2014. Volvió en 2018 con las coronas caídas y el pilar 1-4 totalmente destruido. La pieza 1-5 era vital y colocamos un provisional, el cual descementó varias veces. La 1-4 decidimos mantenerla para hacer un implante cuando colocáramos los demás. El dia de la cirugía del seno, vino con el provisional roto, pero al no tener mucha sensibilidad en la pieza, intervinimos y lo dejamos tal cual. Después de tu observación volvimos a valorar esta pieza el viernes 13 con un test pulpar y Rx, que subo. La pieza sigue vital, con pruebas frio, calor y eléctrica(12 en escala 1-100). Subo TAC previo
Martínez Cabruja, Gerardo
14-07-2018 21:34
Volvemos a ver el paciente el viernes 13.07.2018. Continúa sin sintomatología. Indicamos Trigon Depot intramuscular profundo: 80 mg a la semana, durante tres semanas. Además, indicamos 3 inhalaciones al dia de Budesonida. El objetivo es acabar de desinflamar el seno y abrir el Ostium para facilitar el drenaje. El paciente nos manifestó que llevaba varios dias expulsando bastante mucosidad, pero que ésta no tenía olor. Mantenemos la misma dosis AB durante dos semanas más. Repetiremos TAC al final del tratamiento con cortisona.
Martínez Cabruja, Gerardo
14-07-2018 21:25
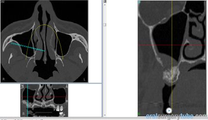
Continúo con el seguimiento que vamos dando a este paciente: Visitado el miércoles 11.07.2018. Hay ausencia total de sintmatología. Retiramos el drenaje, hacemos Prueba de Valsalva positiva, pero sale aire y un poco de sangre. Dejamos cicatrizar por segunda intención. Pedimos continuar la medicación antibiótica y solicitamos un TAC. El seno maxilar está ocupado como vemos en la imagen, pero el biomaterial está contenido en la zona injertada: no existe ningún gránulo de xenoinjerto dentro del seno. La apófisis mastoidea está aireada.
Fernández, Juan Alberto
13-07-2018 09:19
Herman quiero felicitarte y agradecerte la forma tan respetuosa de comentar y sugerir propuestas. Ese es el espíritu que hace falta, para despellejar y alardear están las redes sociales. Gracias de nuevo.
Fernández, Juan Alberto
12-07-2018 20:38
Ostras compañero me dejas sin palabras. Te aseguro que intentaré seguir dándolo todo. Estamos metidos en pleno proceso de desarrollo de la web, para intentar mejorar día a día, por otra parte hemos adquirido un nuevo microscopio, con una cámara que es lo último de lo último, estoy convencido de que con el apoyo de gente como tu, podemos seguir disfrutando de nuestra profesión. Gracias infinitas por tus palabras de aliento.
Rescala, Hernan
12-07-2018 20:27
estimado tal vez y dado que no habria nada que objetar en terminos quirurgicos se pregunto usted que implicancia podria haber tenido esa pieza dentaria tallada sin tratamiento de conducto en tal infeccion?
Martínez Cabruja, Gerardo
10-07-2018 22:41
Ahora escribo para Berto: No tengo cómo agradecer tu ayuda y todo lo que aporta Oralsurgerytube. Creo que es algo único en el mundo; que se pueda enseñar y aprende a la vez y que se haga todo con un solo fin: MEJORAR EL NIVEL PROFESIONAL DE TODOS. Sólo un Grandísimo Profesional y una más grande PERSONA todavía, puede llevar un proyecto de tan altísimo nivel. Muchísimas gracias Berto. Eres GRANDE....GRANDE.... GRANDE.
Martínez Cabruja, Gerardo
10-07-2018 22:32
Ahora escribo a Carlos: En mi caso, hice una elevación de seno que pensaba que había sido la mejor de mi vida profesional. Todo cuidadísimo, cirugía super pulcra y observando los más mínimos detalles. Abrí una ventana asimétrica pues el seno tenía un desnivel importante entre 1-6 y 1-7; luego recoloqué la tapa ósea (lo cual he hecho muchísimas veces). Le di un seguimiento a la sutura muy continuado y todo cicatrizaba más que perfecto: bellísimo. En cuando a mi control intraoral, todo perfecto; es una pena no haber hecho fotos. Lo que sí es que desde el tercer día el paciente me manifestó un episodio de mareos y flojera en las piernas, pero había sido puntual. Aún no sé la causa, pues esta cirugía ha sido la más detallista de todas y la que peor ha ido. Espero poder atar cabos y determinar la causa. En tu caso, dale un buen seguimiento, y si no te reacciona del todo bien, dale el Moxifloxacino y drena todo lo que puedas. Ya seguiré narrando el caso.
Martínez Cabruja, Gerardo
10-07-2018 22:17
Hola Carlos, hola Berto: El paciente fue visitado ayer lunes 9 por la tarde. Después del drenaje del interior del seno del viernes pasado, donde salió abundante pus, y estando con el Moxifloxacino, a las 24 horas le desaparecieron los dolores de la zona operada, los mareos y las molestias de la zona mastoidea. Volvimos a canalizar el drenaje, y apenas salió un poco de exudado pero nada más. Lavamos con solución salina y repetimos la prueba de Valsalva varias veces: salió aire y un poco de sangre, lo cual nos dice que el seno ya se había descongestionado. Irrigamos internamente con una ampolla de Clindamicina y dejamos abierto con un trozo de dique de goma. Prolongamos el Moxifloxacino una semana más. Al paciente le veremos mañana miércoles 11, y si está todo bien, reiteremos el drenaje y haremos un TAC para valorar la situación interna del seno y además veremos la mastoides. El paciente ya no toma ningún analgésico, pues no tiene dolor.
Fernández, Juan Alberto
10-07-2018 21:52
Joder, estas cosas siempre vienen en salvas. Hace como un mes. Operé a un paciente referido, con comunicación orosinusal, y defecto severo por fracaso de elevación de seno previa. El Dr ( de altísima calidad profesional y humana) acompañó al paciente al que operáramos juntos. Honestamente creo que hicimos una cirugía de libro, sin embargo se infectó, el seno, y se remitió a ORL para cirugía endoscópica transnasal funcional. De momento evoluciona favorablemente. En fin, estas cosas pasan, pero revientan.
Kathan Rodríguez, Carlos
10-07-2018 21:35
Hola Gerardo, muy interesante el caso. Sería genial que pudieras postear la evolución y resolución del caso. Puede ser que se haya infectado la herida y las bacterias se estén zampando la membrana colágena? Yo he tenido un caso similar recientemente que sigo observando. Una elevación de manual con biomaterial y membrana colágena (Lyoplant) chincheteada para cerrar la ventana. A la semana drena pus por la descarga mesial que hice por delante del 14 expulsando también partículas de hidroxiapatita. Tras un ciclo de clindamicina y augmentine (no prescribí moxifloxacino por considerar que se trataba de una complicación infecciosa de la membrana, no en el seno por ausencia de síntomas) parece que se va resolviendo pero también me que quedado un poco mosqueado. Mucho ánimo y ya nos cuentas.
Martínez Cabruja, Gerardo
08-07-2018 09:59
Hola Berto: Muchísimas gracias por tu comentario. El paciente está con Moxifloxacino 400 desde el martes pasado; mañana lunes cumplirá el 7º día de AB y le volveré a ver. Gracias por Darme tu teléfono. Luego te llamaré para explicarte la secuencia de los hechos con más detalle, pues por escrito es más complicado. Me comprometo a ir narrando la secuencia de lo ocurrido en el post, de tal manera que nos sirva a todos para aprender. Llevo muchísimas elevaciones de seno, y es la única que no ha ido bien y que ha tenido problemas. En todas las demás, ningún problema y todas han terminado con los implantes colocados y con éxito. Abrazos
Fernández, Juan Alberto
08-07-2018 08:09
Me da rabia no haberte escrito antes, estoy de conferencia en un área donde no hay cobertura, te pido disculpas.
Fernández, Juan Alberto
08-07-2018 08:07
Ostras que buen descrito, que sufrimiento ( de ambos) tan novelescamente compartido. Mi consejo de entrada volando a orl, las mastoiditis son muy refractarias al tratamiento atb. Yo, daría Mocifloxacno durante mínimo 8 días, y dejaría seno abierto. Es una complicación, que no frecuente, de la sinusitis, vía trompa de Eustaquio, se puede afectar oído medio y de éste llegar a mastoides. A mi no me ha pasado nunca, pero otros compañeros me han referido cuadros muy similares, todos han evolucionado satisfactoriamente. Te dejo mi tfno. por si quieres hablar: 630072310 No tengo más q palabras de admiración, y estas cosas nos pasan a todos. Comparto tu sufrimiento y para lo que sea cuenta conmigo.

Añadir un comentario

Añada una imagen al comentario

© Copyright 2012 Oral Surgery Tube.com. Todos los derechos reservados