DUDA acerca de la técnica de elección.
Buenas tardes, compañeros. Soy nueva usuaria en esta plataforma y me esta pareciendo una grandísima idea. Una vía para compartir y aprender tod@s de tod@s genial. Felicidades y gracias!
Expongo mi duda, a ver qué opináis:
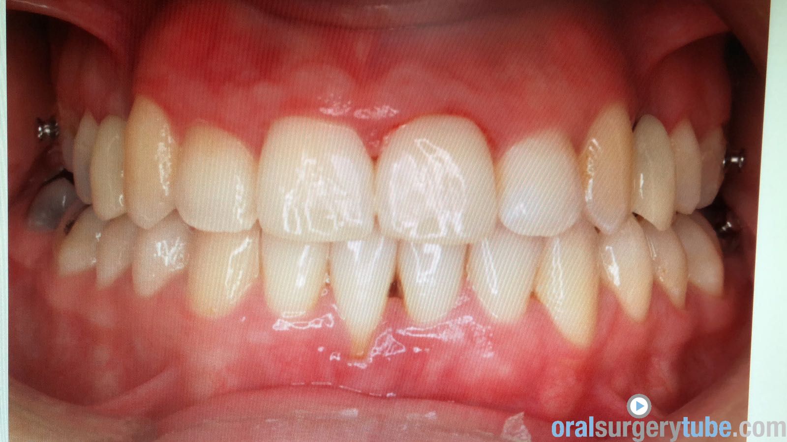
Paciente joven acude para consultar acerca de recesión gingival pieza 31 (clase II Miller). Paciente deja constancia de la importancia de la estética para ella. Hace unos 6 meses, se le realizó cirugía mucogingival con injerto conectivo palatino (la cuál fue fallida, ya que la recesión permanece)... Refiere además cierta molestia al traccionar del labio.
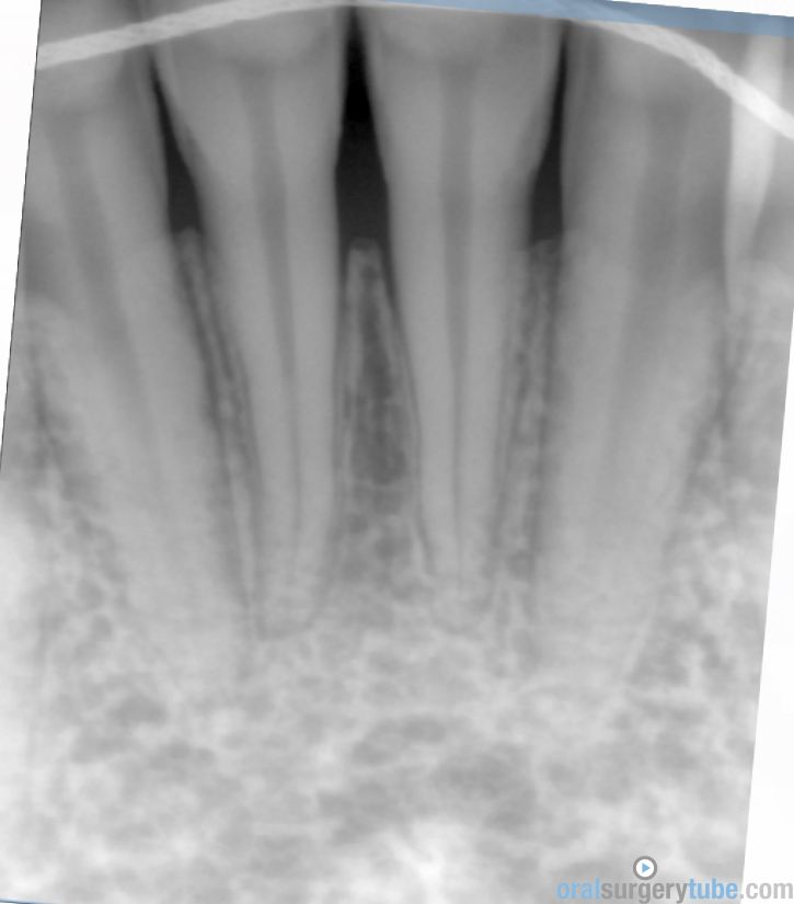
Al movilizar el labio, me transmite la sensación de haber quedado una inserción de fondo de vestíbulo alta... Pienso que podría ser debido a no haber realizado una desinserción muscular al reponer el colgajo coronalmente? (Foto 2). Considero que aún mantiene cierta cantidad de banda queratinizada, pero realmente mínima.
Dado a que se trataría de realizar una "reentrada" o retratamiento (no tengo experiencia hasta la fecha de haber tenido que retratar ningún caso de mucoginigval), agradecería toda opinión acerca de la técnica que más idónea consideréis... Teniendo en cuenta esas posibles adherencias musculares, el biotipo, la demanda estética de la paciente, no sé si lo ideal es tratar con injerto conectivo tipo "técnica bilaminar" y desinsertar la musculatura, o un Injerto de Encía Libre (FGG) y reponer apicalmente la musculatura...
La duda que me surge con el injerto conectivo es si el colgajo me permitiría ser reposicionado coronalmente, teniendo en cuenta esa sensación de "tirantez" actual que describe el paciente. Y la duda de realizarlo con FGG es si conseguiría cubrir la recesión por completo, y si es adecuado para ese solo diente...
Disculpas por la calidad de las fotos, que son algo desenfocadas.
Si tenéis ideas al respecto, cualquier aportación me es de gran utilidad y os estoy muy agradecida!!


