Caso que no pinta bien
Necesito vuestra ayuda compañeros, a ver que se os ocurre que pueda estar pasando.
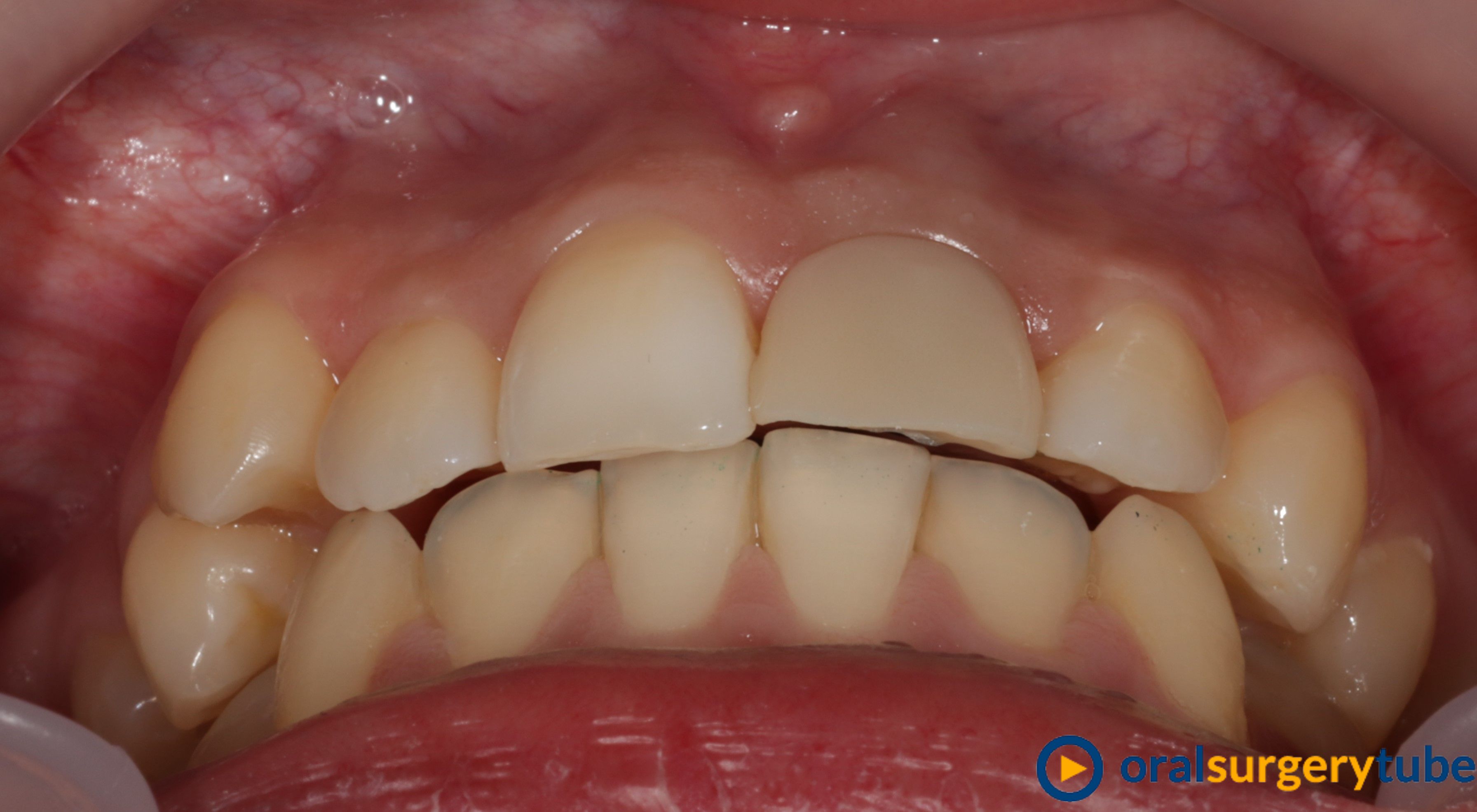
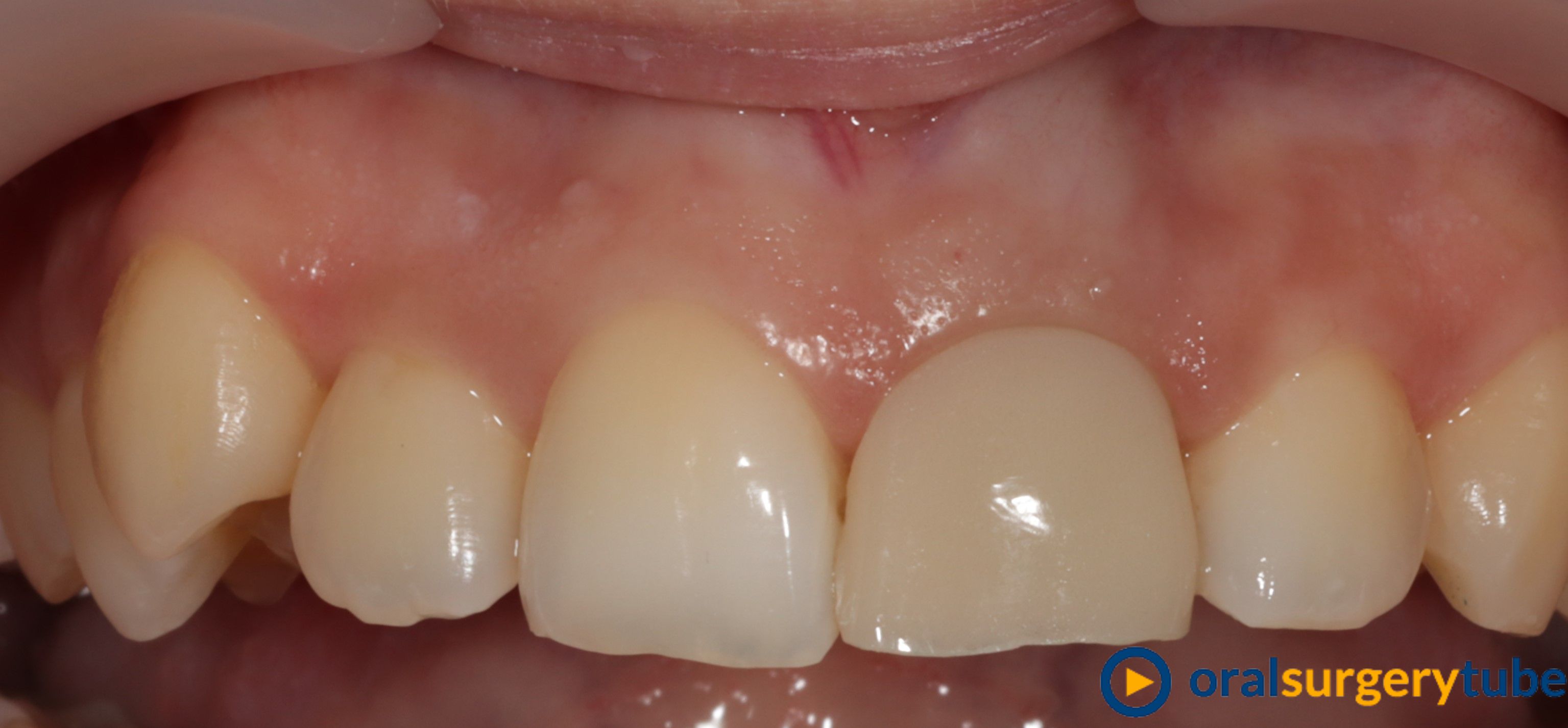
Chica joven de unos 30 años con el 21 con fracasos de endo y reendo debido a una fisura palatina o un surco palatoradicular, en que se decide hacer la extración con shocket shield , relleno de la fenestración palatina con bioss collagen y una carga inmediata al ser torque mayo de 40N, corona se libera totalmende de olcusion y excursivas. La paciente nota desde el inicio muy poca molestia, solo algo de presión en los dientes y nariz. Y lo que más de mosquea, sensación de palpitación (leve) no es como una pulpar, en la encia palatina, y solo ahi. Al hacer movimientos con la cabeza, agacharse..etc...esfuerzos, y la molestia cesa o es casi nada, cuando esta en reposo, y de noche...no hay más clínica que esa.
Nunca me había pasado unas molestias de este estilo tras un implante...No hay dolor como tal, no hay sensibilidad en los dientes, solo esa palpitación en encía palatina con los cambios posturales de cabeza en el trabajo en el almacén, El caso tiene una semana de evolución.
Adjunto fotos de la cirugia, tac previo, tac post inmediato y tac a la semana.
Un saludo y muchas gracias como siempre
