Cirurgia ao Vivo
MADRID

09
:
15
Dia:
18
Mês:
11
MEXICO

02
:
15
Dia:
18
Mês:
11
ISTAMBUL

10
:
15
Dia:
18
Mês:
11
NEW YORK

03
:
15
Dia:
18
Mês:
11
CAMBERRA

18
:
15
Dia:
18
Mês:
11
Estaos aquí https://vimeo.com/event/2212789
Martes 18 09:15h
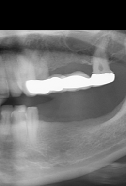
Colocación de implantes en posiciones 35i y 37i, con colocación simultánea de injerto de tejido conectivo.
https://vimeo.com/event/2037848/embed
Próximos Eventos